Fraturas da Cabeça do Rádio: Como Avaliar e Tratar
A fratura da cabeça do rádio é a fratura mais comum do cotovelo, respondendo por cerca de 4% de todas as fraturas e por mais de 30% das fraturas do próprio cotovelo. A incidência anual estimada é de 2,5 a 2,9 por 10.000 pessoas. Costuma ocorrer entre os 20 e 60 anos, com predomínio feminino acima dos 50. O mecanismo típico é a queda com a mão espalmada, geralmente de baixa energia; traumas esportivos e acidentes automobilísticos, por sua vez, tendem a gerar fraturas mais desviadas e com mais lesões associadas.
Anatomia
A cabeça do rádio é um importante estabilizador secundário do cotovelo, contribuindo para a estabilidade em valgo, posterior e rotatória póstero-lateral. Sua superfície articular (“prato” radiocapitelar) é elíptica e levemente deslocada em relação ao colo, o que importa tanto na reconstrução quanto na artroplastia.
Anatomicamente, o nervo interósseo posterior (ramo do radial) corre muito próximo ao colo do rádio e pode ser acometido pelo trauma ou, mais frequentemente, iatrogenicamente durante a abordagem cirúrgica. Para protegê-lo, mantém-se o antebraço em pronação e evita-se a colocação de afastadores na face anterior do colo do rádio ou dissecção distal ao tubérculo do bíceps.

Classificação de Broberg e Morrey
Tipo I: fratura não desviada (depressão <2 mm), sem bloqueio mecânico da rotação e com acometimento de <30% da superfície articular.
Tipo II: fratura parcial com deslocamento >2 mm e/ou >30% da superfície articular, podendo gerar bloqueio da rotação.
Tipo III: fratura cominutiva que envolve toda a cabeça do rádio.
Tipo IV: qualquer fratura da cabeça do rádio associada à luxação do cotovelo.

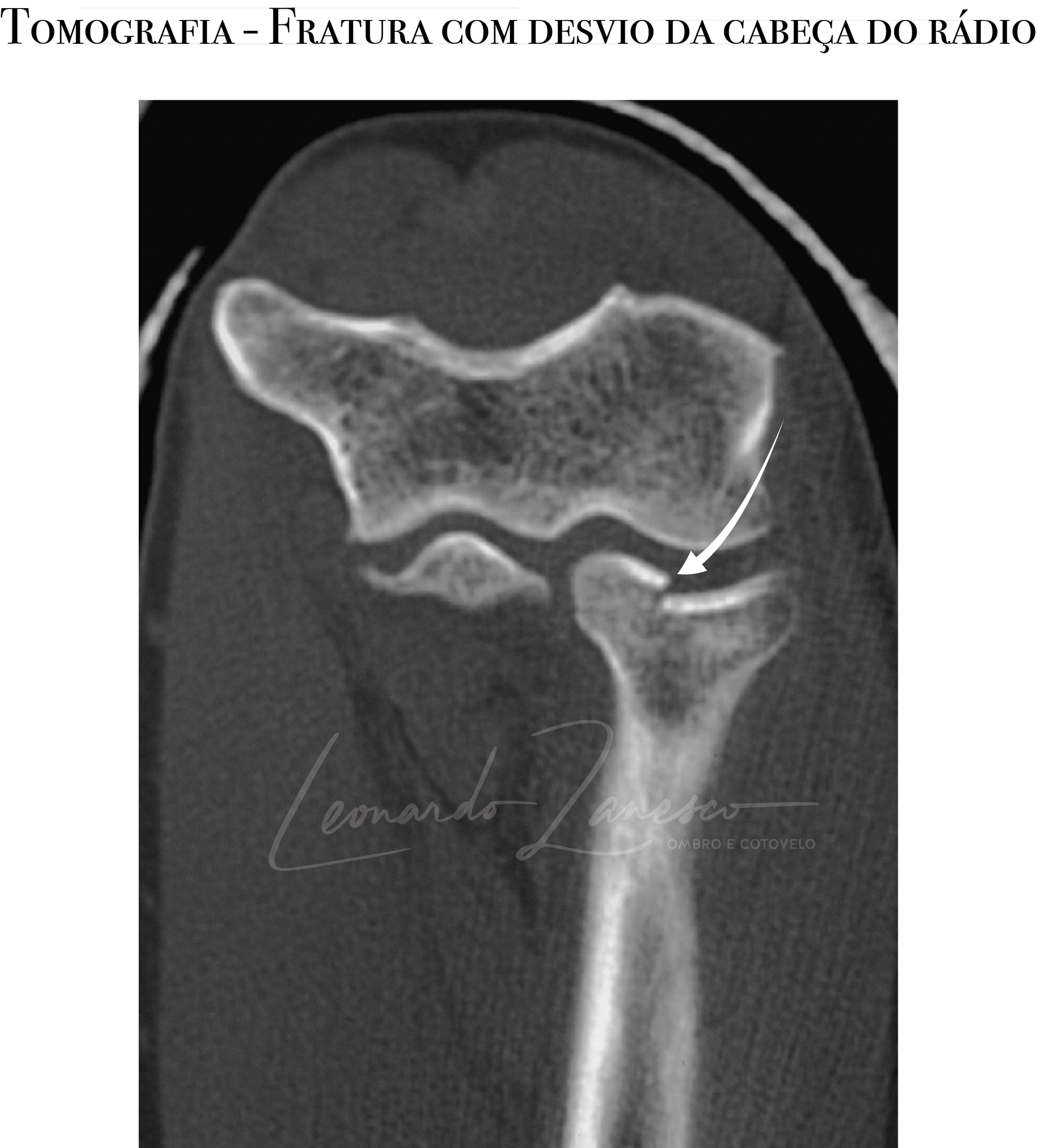
Exames de Imagem
Radiografias em AP e perfil costumam fazer o diagnóstico quando há desvio; nas fraturas sem desvio, os sinais do coxim gorduroso (anterior e posterior) podem ser a única pista inicial. A incidência radiocapitelar ajuda a perfilar a cabeça do rádio. Para definir com precisão o número de fragmentos, localização e grau de desvio — e para pesquisar lesões associadas (coronoide, capitelo, fragmentos osteocondrais) — a tomografia é o método preferencial. Ressonância raramente é necessária na fase aguda.

Critérios para escolha do tratamento
Optamos por tratamento não cirúrgico quando:
- Exame clínico não mostra bloqueio de prono-supinação nem de flexo-extensão
- Ausência de fragmento solto intra-articular
- Desvio <2 mm
- Acometimento articular menor que ~30%
- Sem sinais de instabilidade do cotovelo ou de lesão axial do antebraço (DRUJ/membrana interóssea).
Reabilitação no Tratamento Conservador
A condução dá ênfase à mobilização precoce: imobiliza-se apenas pelos primeiros dias (2–3 dias ou, até no máximo, uma semana conforme a dor), seguido de exercícios ativos com tipoia apenas para conforto. Imobilizações prolongadas pioram o prognóstico de extensão — acima de 2 semanas houve perda de extensão num ensaio randomizado. Fisioterapia é iniciada cedo, com reavaliação clínica e radiográfica seriada.
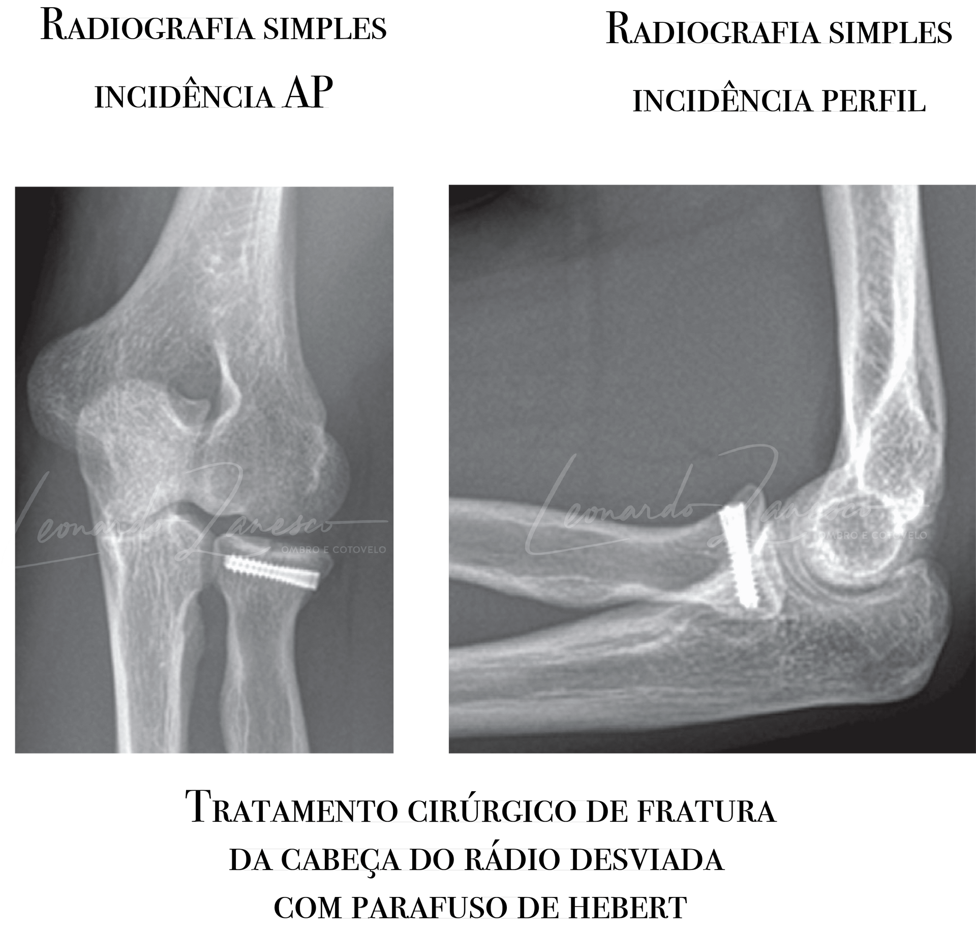
Tratamento Cirúrgico
Quando há bloqueio mecânico, cominuição importante (fratura em que o osso se fragmenta em vários pedaços), desvio relevante associado à instabilidade, ou fragmento intra-articular retido, a cirurgia tende a oferecer melhor recuperação da mobilidade e da estabilidade. As principais estratégias são:
- Excisão da cabeça do rádio: A excisão de pequeno fragmento intra-articular (<25% do diâmetro articular) pode ser indicada quando esse fragmento causa bloqueio de rotação e não é reconstruível. A excisão completa pode ser considerada em fraturas multifragmentares isoladas não fixáveis; entretanto, não deve ser feita se houver lesões ligamentares/ósseas associadas, pois aumenta o risco de instabilidade. Mesmo com ligamentos íntegros, a excisão altera a cinemática do cotovelo e, a longo prazo, associa-se a artrose radiográfica e migração proximal do rádio, embora muitos pacientes mantenham boa função clínica. Avaliação fluoroscópica intraoperatória da estabilidade é mandatória.
- Reconstrução com placa e parafuso (ORIF): Indicada nas fraturas desviadas e reconstruíveis, especialmente em pacientes jovens, tipicamente quando há três ou menos fragmentos e boa cartilagem. Sinais clássicos usados como guia são desvio >2 mm e acometimento >30% da superfície articular (Mason II), embora a superioridade de operar todos esses casos não esteja definitivamente provada. Em fraturas com >3 fragmentos, os riscos de não união, osteonecrose, falha de fixação e rigidez aumentam; parafusos “countersunk” tendem a gerar menos rigidez do que placas.

- Artroplastia da cabeça do rádio: A substituição por prótese metálica é muito útil nas fraturas não reconstruíveis, sobretudo quando há instabilidade ligamentar associada (p.ex., “tríade terrível”). Os resultados de médio prazo são bons com vários desenhos protéticos; complicações específicas incluem “overstuffing” (aumento excessivo da altura radial) e afrouxamento.

Possíveis Complicações
Rigidez do cotovelo é comum após fraturas da cabeça do rádio; em uma coorte tratada conservadoramente por 10 anos, 14% referiam alguma rigidez e 24% dor (geralmente leve), com 92% de satisfação.
A
ossificação heterotópica (OH) tem incidência relatada entre
3% e 50%; sua repercussão clínica é variável e a profilaxia farmacológica tem evidências conflitantes.
Artrose pós-traumática é frequente no seguimento longo; em Mason II moderadamente desviadas tratadas sem cirurgia, a incidência radiográfica chegou a
82% em 19 anos, embora com baixa taxa de resultados insatisfatórios.
Em
artroplastia da cabeça do rádio, séries de médio prazo reportaram
lucências no canal do colo em
45%,
artrose ulnohumeral em
38% e
OH em
36%, com baixa necessidade de reoperação. O “overstuffing” (prótese longa demais) pode reduzir o arco de movimento e causar dor; atenção intraoperatória ao nível correto é essencial.
Quanto ao
nervo interósseo posterior, a lesão iatrogênica é prevenível com técnica adequada (pronação, evitar afastadores anteriores ao colo, não dissecar distal ao tubérculo do bíceps), sendo sua lesão pouco frequente nos dias atuais.
Conheça o Dr. Leonardo Zanesco | Tratamento para Fraturas da Cabeça do Rádio
Se você está em busca de um ortopedista com expertise e experiência em tratamentos conservador e cirúrgico de fraturas da cabeça do rádio, sou o Dr. Leonardo Zanesco, médico assistente do Grupo de Ombro e Cotovelo do Hospital das Clínicas da USP e membro da Sociedade Brasileira de Cirurgia do Ombro e Cotovelo (SBCOC). Como cirurgião especializado em ombro e cotovelo, ofereço o mais alto padrão de cuidado, adaptado às suas necessidades específicas. Com vasta experiência em técnicas cirúrgicas tradicionais e inovadoras, minha prática é baseada nas evidências científicas, confiança entre médico e paciente, excelência técnica e um profundo conhecimento na área.
Continue acompanhando meu blog e me siga no instagram para mais conteúdos relacionados a sua saúde. Agende uma consulta.
Referências Bibliográficas
- Morrey, Bernard F; Sanchez-Sotelo, Joaquin; Morrey, Mark E. Morrey's The Elbow and it's Disorders. 5ª edição. Elsevier; 2017.
- Tornetta III P, Ricci WM, Ostrum RF, McQueen MM, McKee MD, Court-Brown CM. Rockwood and Green’s Fractures in Adults. 9ª edição. Wolters Kluwer; 2020.













